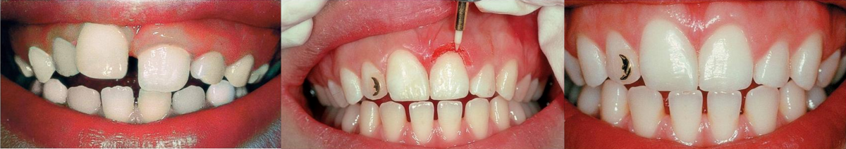
Ceramic for precise Tissue Trimmer cuts.
CTT is a rotating instrument that can often replace both electro-surgery and surgical blades as well as the use of retraction cord. To be applied without water spray in the air turbine handpiece under full speed and operated with small brush depicting movements.
Secures a nice and gentle cut while the heat development creates a good hemostasis - minimal bleeding and the risk of necrosis is virtually eliminated.